院内新闻
【技术领航】10年旧伤致器官“错位”,市二院胸外科孙振教授团队精准手术助脏器归位!
内容提要
/ / Summary
10年前的一场事故,不仅在刘大爷(化名)身上留下了疤痕,更埋下了一颗“定时炸弹”。4年来,腹胀、暖气如影随形,老人痛苦不堪。直到近日,市二院胸外科的孙振教授才为他揭晓真相:老人的胃、肠管甚至脾脏,竟已通过膈肌的破洞“跑”进了胸腔……
一场意外遗留祸患
膈肌破损致脏器移位
刘大爷的肚子闹了4年脾气——反复嗳气、腹胀,吃饭没胃口,睡觉难安生。半年前症状加剧。在家人多次劝说下,始终未予重视的刘大爷终于前往当地医院,被诊断为“肠梗阻”和“胃肠畸形”,但治疗效果不佳。
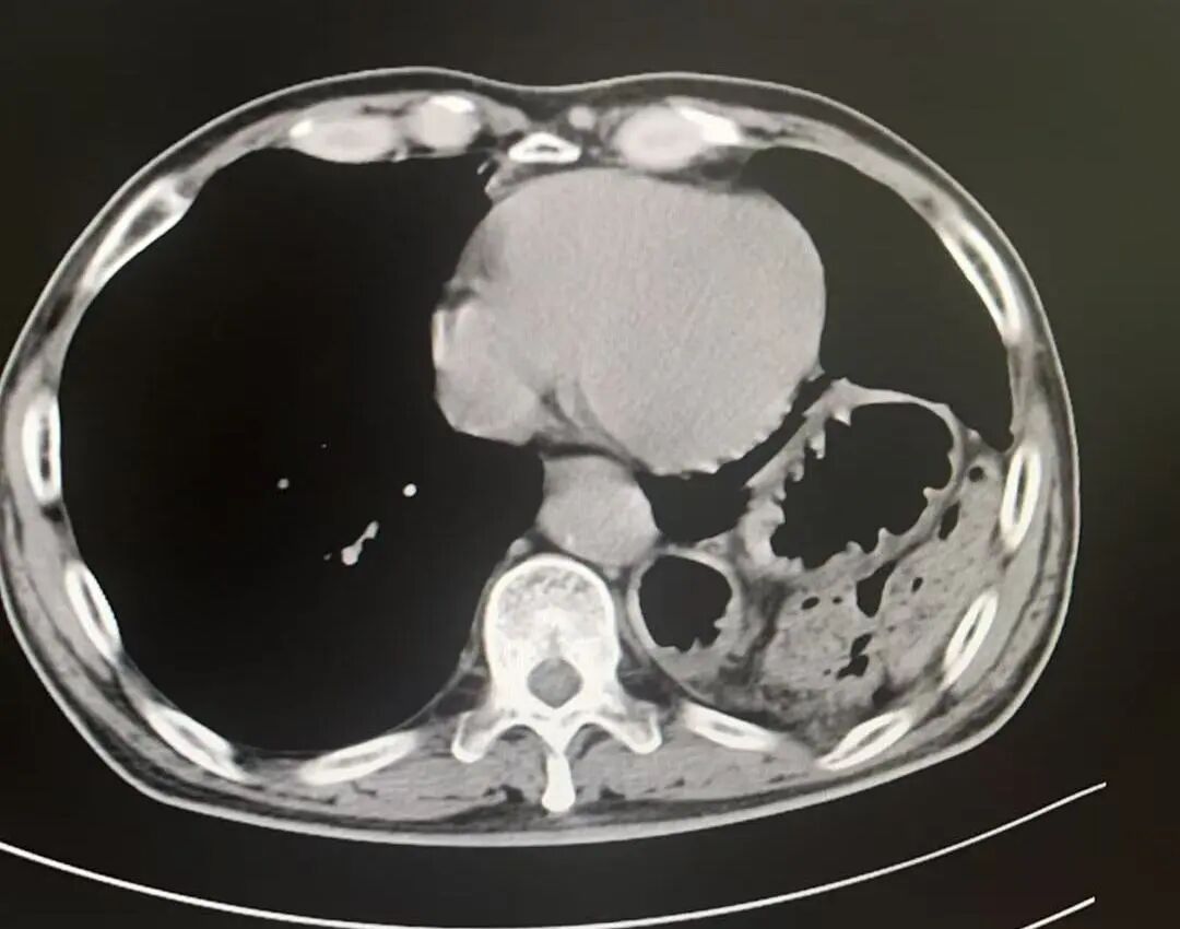
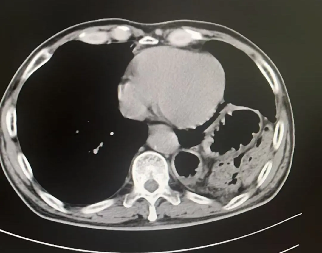
术前影像
辗转来到市二院胸外科,孙振教授在细致追问病史时,捕捉到一个关键细节:10年前,患者胸腹部曾被刀刺伤,当时仅做了外部缝合,未深入排查内部损伤。这一信息引起了孙振教授的高度警觉——很多陈旧性胸腹外伤虽表面愈合,却可能遗留膈肌破裂的隐患,并随时间推移发展为创伤性膈疝。腹部增强CT结果证实了这一判断。
两步走手术策略
归位脏器精准补疝
膈肌是胸腔和腹腔的“分隔墙”,这道墙破了,脏器就会“跑错门”,引发连锁灾难!刘大爷的疝内容物较多、粘连严重,需尽快手术干预。
创伤性膈疝因创伤因素复杂,手术难度远超普通膈疝。经充分术前评估,孙振教授团队了制定“两步走”方案:先以胸腔镜微创探查,视情况灵活转开胸,确保安全与疗效并重,获患者及家属一致认可。
术中发现胃、结肠、小肠及脾脏疝入胸腔且与周围组织严重粘连,部分脏器难以通过微创完全复位。孙振教授果断决策,通过10厘米切口精细分离粘连,成功还纳全部脏器并牢固修补缺损,杜绝复发隐患。
术后影像
膈疝修补如拆“定时炸弹”,需松解粘连、归位脏器、修复缺损三步精准到位。团队采用阶梯策略,在确保手术效果的同时最大程度降低风险、减少创伤。术后,刘大爷的症状迅速缓解,现已康复出院,重归正常生活。
此次手术的成功,再一次体现了我院在胸外科领域的综合诊治水平。孙振教授凭借40年胸外科临床经验,带领团队开展胸腔镜微创手术、CT引导下肺内小结节定位切除、肺癌/食管癌根治术、纵隔肿瘤切除术等高难手术,实现了“早诊断、早治疗、早康复”,使更多胸外科疾病患者受益。
人民医院 人民名医
孙振
主任医师 三级教授
·葫芦岛市第二人民医院胸外科主任、肺结节诊治中心主任
·中国医科大学客座教授
·原央企总医院著名胸外科专家
·辽宁省医学会胸外科委员
·辽宁省抗癌协会肺癌专业委员会委员
·辽宁省细胞生物学学会食管癌专业委员会理事
·主持多项科研成果,获科技成果奖、科技进步奖、国家专科奖项
医学成就:从事胸外科临床工作近40年,担任胸外科首席专家及科室主任20余年,是我省胸外科领军人物,推动肺癌、食管癌等胸部肿瘤外科的规范化诊疗,在央企总医院牵头成立了肺结节诊疗中心,率先开展CT引导下肺内小结节定位切除,既确切完整切除肺内小结节,又降低肺功能损害。
专业特色:擅长肺癌、食管癌的外科手术和综合治疗,在各类高难度胸外伤手术治疗、胸腔镜微创手术、胸腺瘤手术及复杂并发症处理方面具有高深造诣,尤其擅长肺癌早期诊断,胸部小结节CT早期肺癌的鉴别等。完成各类高难度胸外科手术5000余例,其中微创手术占比达90%,治愈率达98%,多项业务填补省内空白。
开展的高难手术包括:胸腔镜肺部结节微创手术、肺癌根治术、食管癌根治术、各种纵隔肿瘤切除术、胸骨后甲状腺手术及胸部复合性外伤的抢救手术等。
出诊时间:每周一、周二全天
出诊地点:门诊二楼著名专家诊区
咨询热线:16604299397
上一篇:【辽西首例】告别“大象腿”,市二院显微功能重建外科微创手术破解肢体淋巴水肿难题,术后随访见证显著疗效! 下一篇:【疑难诊治看二院】老人反应变慢≠老年痴呆!市二院赵智江教授团队撕开“神经系统伪装者”假面!







统一呼叫平台