院内新闻
【技术领航】高龄+肺栓塞+呼吸衰竭……82岁老人多重危急!市二院呼吸与危重症医学科48小时“黄金救治”,打赢肺栓塞生命保卫战
肺栓塞死亡率极高,在叠加高龄、多重基础病及并发症时诊疗难度剧增。近日,我院呼吸与危重症医学科宋刚主任带领团队以精湛技术和全程守护,成功救治一名82岁中高危肺栓塞合并多病症的患者,再次展现了科室对急危重症的强大救治能力。
01
肺栓塞合并多基础病,生命岌岌可危
患者高血压病史7年,最高血压达190/100mmHg,2型糖尿病7年,控制不佳。发病前3天,意外摔伤致股骨颈骨折,后出现咳嗽、呼吸困难、胸痛等症状,被紧急送到我院急诊。完善相关检查后,明确诊断为中高危肺栓塞——这是一种足以危及生命的急症,病情进展迅速。
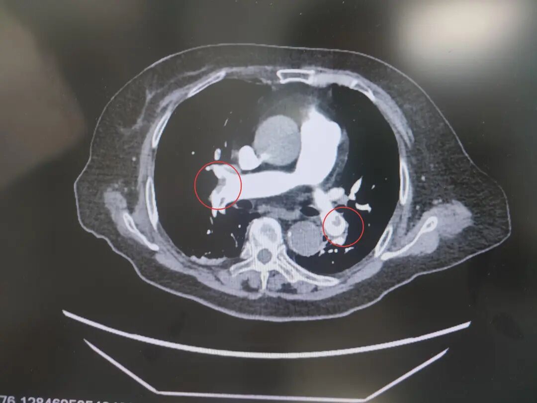
肺栓塞
肺占位
为进一步精准救治,呼吸与危重症医学科宋刚主任带领团队对患者进行全面评估,结果令人揪心:肺血栓栓塞(中高危)、I型呼吸衰竭、肺占位性病变、急性冠脉综合征、急性肾功能不全、肝功能不全、脓毒症等多种疾病,且随机血糖高达31.68mmol/L,远超正常范围,生命体征岌岌可危。
02
个性化精准治疗,专人监护守平安
肺栓塞的核心治疗手段包括手术、溶栓及抗凝,但患者高龄、基础疾病复杂,存在明确手术禁忌,溶栓治疗亦存在相对禁忌,此时抗凝治疗成为唯一可行的救治方向。然而,患者存在严重急性肾功能不全,对临床常用的直接抗凝药物存在明确禁忌,无法使用。
患者部分检测结果
经反复研讨,最终制定了以普通肝素抗凝为主,辅以补液支持、强化降糖的综合治疗方案。普通肝素虽可用于肾功能不全患者,但需每4~6小时抽血监测凝血功能,并将其控制在正常参考值的1.5~2.5倍之间,既要保证抗凝效果,又要规避出血风险。为精准把控用药剂量、密切监测患者生命体征,医护人员连续48小时专人床旁监护,每4至6小时精准调整用药,在抗血栓与防出血之间找到最佳平衡点。
在整整十个昼夜的精心治疗与守护下,患者病情逐步稳定,顺利度过危险期,各项功能逐渐恢复。
我院呼吸与危重症医学科团队长期致力于呼吸系统疾病的诊治,在对急危重症的救治方面具备快速的反应能力与精准强大的处置水平。未来,科室将持续积淀临床经验、提升诊疗能力,以更精湛的技术为呼吸系统疾病及急危重症患者的生命健康保驾护航。
03
人民医院 人民名医
宋刚
主任医师
·葫芦岛市第二人民医院呼吸与危重症医学科主任
·辽宁省生命科学学会东北呼吸与危重症医学(PCCM)分会辽宁省基层委员会副主任委员
·辽宁省细胞生物学学会放射粒子治疗专业委员会理事
·辽宁省抗击新冠肺炎疫情先进个人
·辽宁省预防医学会第一届吸烟相关疾病防治专业委员会委员
·葫芦岛市劳动鉴定委员会专家库成员
·葫芦岛市医学会呼吸内科学分会第三届委员会副主任委员
专业特色:擅长呼吸系统疑难及急危重患者的救治,如急慢性支气管炎、支气管哮喘、慢性阻塞性肺疾病、肺炎、肺栓塞、肺癌、间质性肺疾病、睡眠呼吸暂停综合征等,尤其擅长有创无创机械通气、支气管镜下相关检查及治疗(TBNA、气道支架置入术、球囊扩张等)、全肺灌洗术等领先技术,发表国家级期刊多篇。
出诊时间:每周二、周四全天
出诊地点:门诊二楼东侧35诊室
上一篇:【辽西首例】市二院骨科中心手术迈入“机器人”时代,完成辽西首例机器人辅助下骨盆骨折手术! 下一篇:【技术领航】从“治血压”到“调身心”,葫芦岛市第二人民医院心脏中心中西医结合守护心血管健康!







统一呼叫平台