院内新闻
【技术领航】食管癌患者辗转多地返乡求医,市二院胸外科孙振教授团队以技术与服务赢得患者信赖!
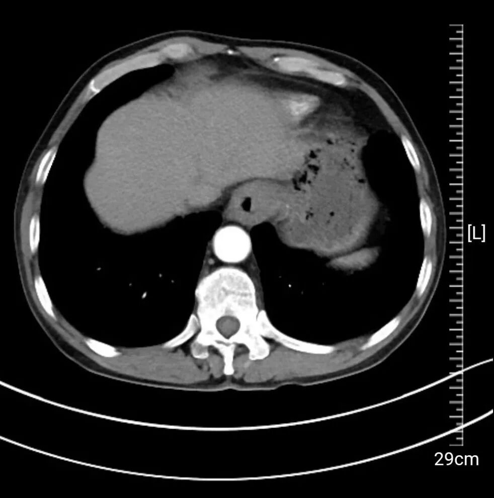
引言 / / Introduction 一口馒头,竟成了生命难以逾越的“大山”。过去一个多月,陈大爷(化名)仿佛置身于一场醒不来的噩梦——吞咽困难、胸骨疼痛,连半流食都吃得勉强。而今,在葫芦岛市第二人民医院胸外科,这场噩梦终于被孙振教授团队精湛的医术画上了句号。 PART. 01 吞咽困难查出食管癌 辗转求医找到“家门口的希望” PART. 02 高难度手术顺利切除 术后第三天即可下床 PART. 03 深耕胸外领域 以技术实力守护患者“生命通道” PART. 04 人民医院 人民名医
上一篇:【全市首例】市二院心脏中心为高龄、高危心脏病患者成功植入AVEIR™VR无导线心脏起搏器,开启无线精准起搏新纪元! 下一篇:【技术领航】30年老烟枪AI自诊吓破胆!市二院呼吸与危重症医学科支气管镜诊疗击碎“肺癌恐慌”












统一呼叫平台