院内新闻

【人民医院为人民】市二院李寒教授团队为低保患者“精打细算”,小切口微创搭桥既省钱又安心

图片

内容提要

在心脏外科领域,微创技术正以其创伤小、恢复快、费用低的优势,成为越来越多患者的首选。近日,葫芦岛市第二人民医院心脏血管外科李寒教授带领团队成功为一名68岁低保患者实施了微创小切口冠状动脉搭桥术,让困难群众真正实现了“看得起病、看得好病”。

图片



PART.

01

血管严重病变,手术迫在眉睫

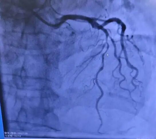
68岁的张大爷(化名)因反复胸痛、胸闷来院就诊。冠状动脉造影结果显示:前降支中段可见80%~90%狭窄伴有迂曲,此时介入治疗已非最佳选择,外科搭桥手术成为唯一出路。

图片

鼠标所指位置为病变处

然而,张大爷是低保户,经济状况拮据,传统开胸搭桥手术所需的数万元费用让他愁眉不展。更令他担忧的是,自己年近七旬,身体能否承受开胸锯骨的巨大创伤?




PART.

02

量身定制,小切口解决大问题

接诊后,李寒教授团队对张大爷的病情进行了深入分析。“患者病变确实很重,但我们不仅要解决病变,还要综合考虑患者的身体和经济状况。”李寒教授表示。

经过全面评估,团队为张大爷量身定制了“微创小切口冠脉搭桥术”方案:获取左侧乳内动脉作为桥血管材料——乳内动脉因其远期通畅率高、不易发生动脉粥样硬化,被誉为冠脉搭桥的“金标准”桥血管。

图片

术中,李寒教授团队精准地将左侧乳内动脉吻合至前降支中段,成功完成了“单乳房内动脉-冠状动脉旁路移植术”。

传统开胸手术需锯开胸骨,创口长达15~20厘米,创伤大、恢复慢。而微创小切口手术仅留6~8厘米创口,术中出血少、身体损伤更小,还能完整保留胸骨结构稳定,术后恢复更快。本次术后,张大爷不到一周便顺利康复出院。




PART.

03

精打细算,让困难群众“治得起”

“人民医院为人民”,这不仅仅是葫芦岛市第二人民医院的一句口号,更是始终践行的服务理念。在术前沟通中,李寒教授主动将患者的低保情况与医院相关部门沟通,在保证医疗质量的前提下,尽可能优化耗材选用、缩短住院周期。

得益于微创手术的快速康复优势,张大爷总住院天数较传统开胸手术缩短了近一半,总花费也远低于常规搭桥手术。出院时,张大爷握着李寒教授的手激动地说:“没想到这么大的手术,只开了个小口子就解决了,还帮我省了这么多钱,真是太感谢了!”




PART.

04

北京专家一站式服务

让滨城百姓更有“医”靠

李寒教授的加入,不仅带来了顶尖的微创心脏外科技术,更让葫芦岛市第二人民医院心脏血管外科团队实现了与北京名院同质化的诊疗水平。在李寒教授的带领下,科室深度联合北京阜外医院、北京安贞医院、解放军总医院等顶级医疗资源,全面推行“围术期全程北京专家管理”模式。从术前精准评估、到术中精细操作、再到术后康复管理,全程北京专家团队护航。这种“北京专家一站式服务”模式,让滨城百姓无需远赴北京,在家门口就能享受到国内顶级专家的精准诊断和微创手术治疗,免去了异地就医的奔波之苦和高额花费。




PART.

05

人民医院 人民名医

图片

李寒

医学博士 主任医师 教授

·葫芦岛市第二人民医院心脏中心副主任、心脏血管外科著名专家

·原解放军总医院(301)第六医学中心心外科主任、北京中医药大学东直门医院心外科主任

·北京医学会心血管外科分会委员

·全军胸心血管外科学会青年委员

·国家药品食品监督管理局医疗器械评审专家

·北京转化医学会心外科分会常委

·中国民族卫生医药学会心脏分会委员

专业特色:从事心脏大血管外科工作30余年,长期致力于复杂心脏大血管外科治疗工作,参与偏远地区先心病患儿救治数量4千余例,并在国内开展了多项领先及高难技术,如冠状动脉旁路移植术中干细胞移植,干细胞移植治疗右室型心肌病、先心病合并重度肺动脉高压的诊断性治疗等。擅长冠心病、瓣膜性心脏病、先天性心脏病、心脏肿瘤以及大血管病等手术治疗。开展多项新技术新业务,包括:冠脉搭桥、瓣膜修复、置换、先心病矫治、主动脉夹层、动脉瘤外科手术、心包炎、心脏肿瘤等心脏外科高难手术,外科手术中射频消融治疗心房颤动等,均在国内属于先进水平。

图片

李寒主任已正式入驻抖音,扫码关注或搜索“心脏外科李寒主任”,了解更多心脏知识。


上一篇:【全市首家】葫芦岛市第二人民医院呼吸与危重症医学科获国家级授牌,“基层咳喘门诊”正式挂牌! 下一篇:【锦旗背后的故事】“良性”肺结节暗藏危机!市二院胸外科孙振教授果断手术,40年经验改写结局

  • 统一呼叫平台