院内新闻
【技术领航】从命悬一线到3天下床!市二院心脏血管外科李寒教授团队为重症心脏病患者点燃生命希望!
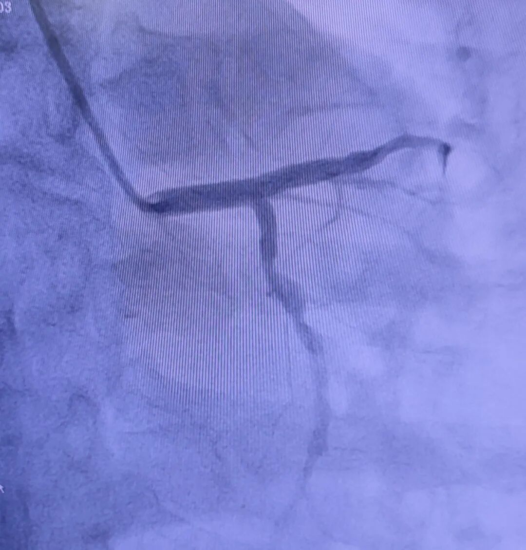
✦ ✦ ✦ 葫芦岛市第二人民医院心脏血管外科 汇聚北京301/阜外/安贞专家团队 国家级顶尖技术全程护航 原解放军301医院 李寒教授、汤楚中教授领衔 联合北京阜外、北京安贞顶尖专家团队 从检查、手术到康复 全程北京专家护航! 年过六旬的赵大爷(化名)入院前一周突发高烧,体温飙升至39.7℃,以为只是普通感冒,但吃药后却未见缓解。为求精准治疗,家属将其送至我院。 检查结果让所有人倒吸一口凉气!经食道超声发现,赵大爷心脏二尖瓣上长出一个约13x10mm的赘生物,血培养证实为“金黄色葡萄球菌”引发的感染性心内膜炎。这个赘生物就像一颗“不定时炸弹”,随时可能脱落流入大脑或重要脏器,引发致命栓塞。 患者明确满足手术指征,但治疗之路布满荆棘。此时赵大爷仍反复高烧,处于感染急性期,必须先控制感染才能手术。 心脏中心副主任、心脏血管外科著名专家李寒教授领衔团队凭借在解放军总医院(301医院)多年积累的急危重症处理经验,精准施策,经过一个多月的对症治疗,赵大爷体温趋于稳定,手术时机终于成熟! 术前造影 术前,李寒教授团队进行了极其周密的评估,并安排了冠脉造影检查。造影显示:患者回旋支粗大,近段弥漫性狭窄,近钝缘分支叉狭窄约70%~80%,右冠中远段100%闭塞。这意味着,患者不仅需要解决二尖瓣赘生物和感染问题,还需同期实施冠状动脉搭桥术,手术难度和风险大幅提升。 “患者把命交到二院,我们必须拿出最优解。”李寒教授团队迎难而上,制定周密手术方案。在体外循环技术支持下,团队为赵大爷同期实施“二尖瓣生物瓣置换术”+“主动脉-冠状动脉搭桥术”。术中既要精准切除感染病灶、置换新瓣膜,又要在跳停的心脏上,用比头发丝还细的缝线重新搭建“生命通道”,恢复心肌供血。整个手术过程有条不紊,精准高效。当心脏重新恢复有力的跳动时,意味着这台高难度手术的成功。 术后,在心脏血管外科医护团队的精心照料下,赵大爷的恢复情况远超预期。术后仅3天,他就能下床行走,精神状态和饮食情况也一天比一天好,脸上终于露出了久违的笑容。 此次高难度手术的成功,再次展现了我院心脏血管外科的硬核实力。作为葫芦岛首家心脏血管外科,科室由原解放军总医院(301)心血管外科专家李寒教授、汤楚中教授领衔,深度联合北京安贞医院、阜外医院顶级专家团队,构建 “北京技术、滨城落地” 的创新模式。滨城百姓再也不用奔波劳顿赴外地求医,在家门口就能享受到国家级的诊疗服务。科室不仅填补了本地区心脏血管外科的空白,更以国内先进水平的手术成功率和术后生存质量,为无数重症心脏病患者托起了“心”的希望。 葫芦岛市第二人民医院心脏血管外科作为葫芦岛市首家心脏外科专科及医院重点发展学科,打造集危急重症抢救、复杂手术攻坚、终身健康管理于一体的区域性心脏诊疗高地。 由原解放军总医院(301)心血管外科专家李寒教授、汤楚中教授领衔,深度联合北京安贞医院、北京阜外医院顶级专家团队,构建“北京技术、滨城落地”的创新模式,是辽西首个实现“北京心脏技术本地化”的专业团队,为复杂心血管疾病患者提供国家级诊疗服务。 科室配有CRRT、呼吸机、除颤仪、血气分析仪、主动脉球囊反搏泵等先进设备。全面开展冠状动脉搭桥术、复杂瓣膜置换术(二尖瓣、三尖瓣、主动脉瓣)、瓣膜成形术、主动脉夹层手术、房间隔修补术、室间隔修补术、心包疾病(缩窄性心包炎、心包肿瘤)等复杂心脏血管外科手术,年开展心脏外科手术量及复杂病例占比持续领跑区域医疗行业。 科室率先推行围术期(从术前准备到术后康复)全程北京专家管理模式,保障患者整体健康和长期预后,极大提高了手术成功率,改善了患者生活质量,为众多心脏病患者带来生命的希望和健康的未来。 心脏血管外科年均手术300余例,复杂手术占比超40%,术后生存率达国内领先水平,填补辽西地区多项技术空白,持续引领区域心血管疾病诊疗技术革新,让患者在家门口享受国家标准心脏诊疗服务。 李寒 主任医师 教授 ·葫芦岛市第二人民医院心脏中心副主任、心脏血管外科著名专家 ·原解放军总医院(301)第六医学中心心外科主任、北京中医药大学东直门医院心外科主任 ·北京医学会心血管外科分会委员 ·全军胸心血管外科学会青年委员 ·国家药品食品监督管理局医疗器械评审专家 ·北京转化医学会心外科分会常委 ·中国民族卫生医药学会心脏分会委员 专业特色:从事心脏大血管外科工作30余年,长期致力于复杂心脏大血管外科治疗工作,参与偏远地区先心病患儿救治数量4千余例,并在国内开展了多项领先及高难技术,如冠状动脉旁路移植术中干细胞移植,干细胞移植治疗右室型心肌病、先心病合并重度肺动脉高压的诊断性治疗等。擅长冠心病、瓣膜性心脏病、先天性心脏病、心脏肿瘤以及大血管病等手术治疗。开展多项新技术新业务,包括:冠脉搭桥、瓣膜修复、置换、先心病矫治、主动脉夹层、动脉瘤外科手术、心包炎、心脏肿瘤等心脏外科高难手术,外科手术中射频消融治疗心房颤动等,均在国内属于先进水平。 李寒主任已正式入驻抖音,扫码关注或搜索“心脏外科李寒主任”,了解更多心脏知识。



上一篇:【技术领航】省内胃肠外科领军专家乔世峰教授全职加盟,腹腔镜微创除瘤守护滨城百姓胃肠健康! 下一篇:【技术领航】跨城接力抢救心脏骤停患者!市二院心脏中心争分夺秒极限“抢”人








统一呼叫平台