健康微视
【健康直通车】体检发现肺结节怎么办?市二院肺结节诊治中心孙振教授,40年经验手把手教您如何一眼看穿“肺结节”
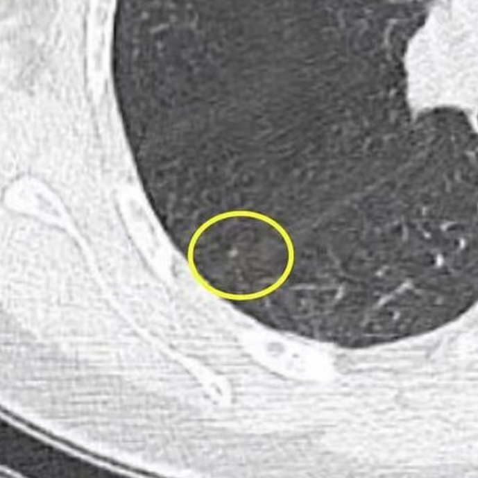
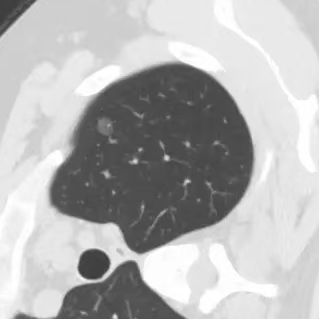
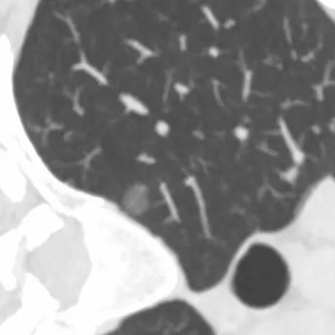
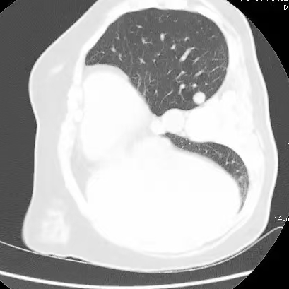
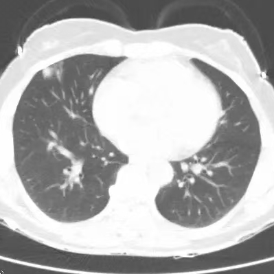
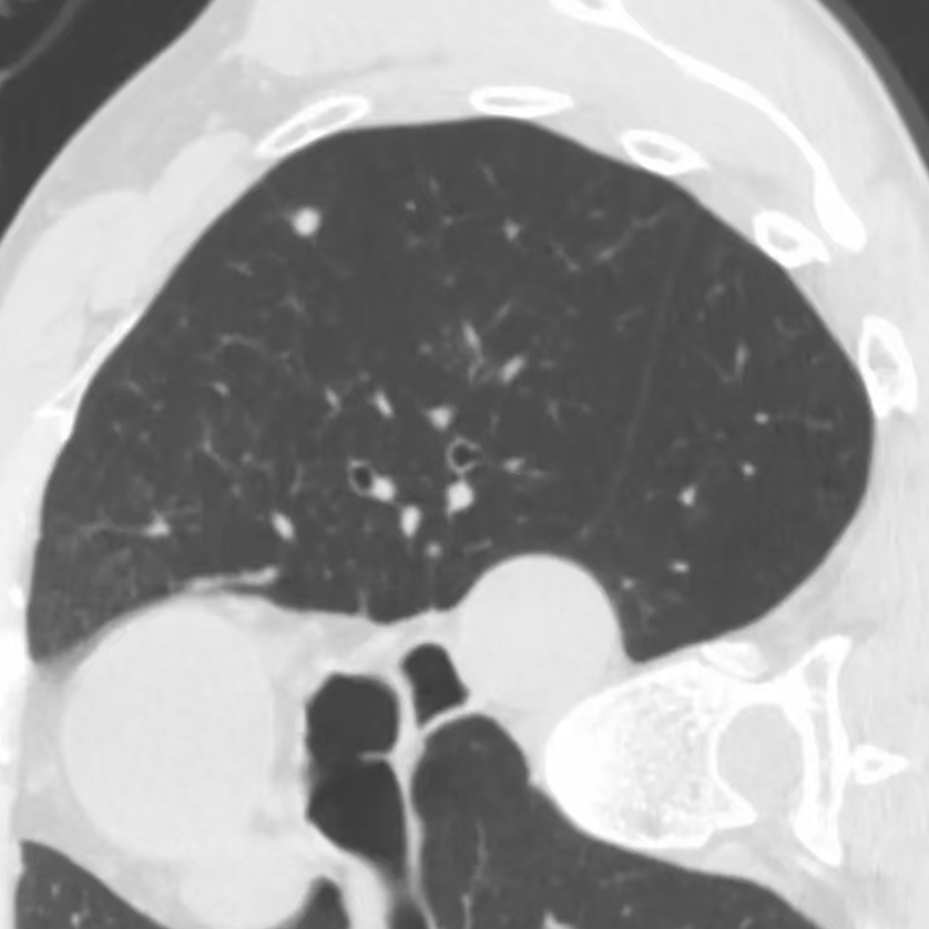
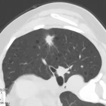
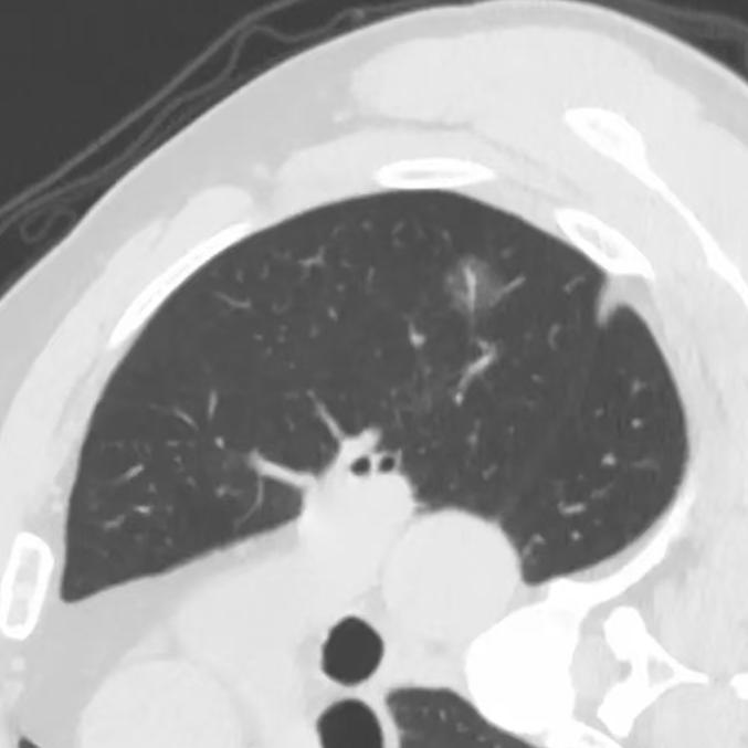
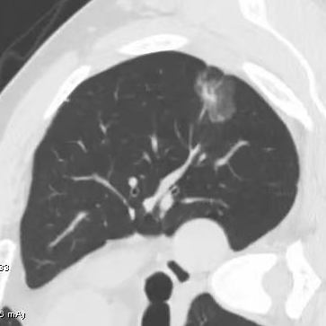
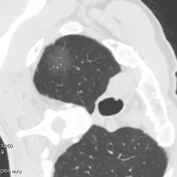
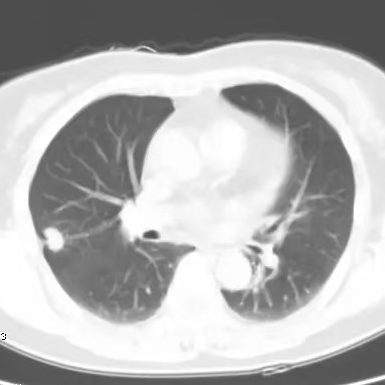
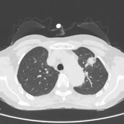
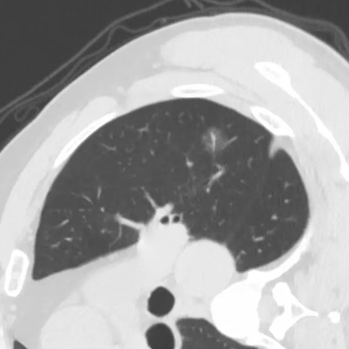
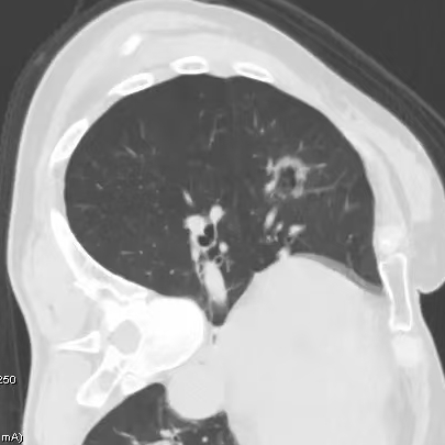
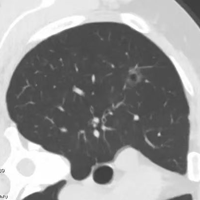
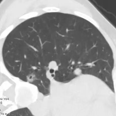
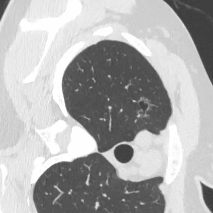
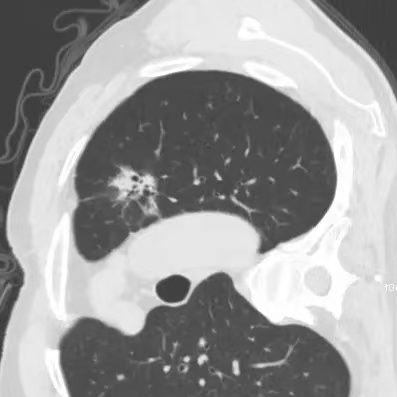
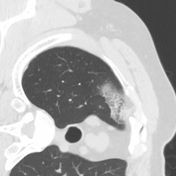
健康直通车: 健康是生命的宝贵财富,也是幸福生活的基石。为了更好地服务广大百姓,传播健康知识,葫芦岛市第二人民医院推出“健康直通车”专题栏目,将专业的医学知识以通俗易懂的方式传递给每一位市民,掌握科学的疾病预防方法,共同构筑健康中国的坚实基石。 什么是肺结节 肺结节是指肺内直径小于或等于3cm的类圆形或不规则形病灶,影像学表现为密度增高的阴影。大于3cm的称肿块。肺结节依其密度不同可分为实性结节、部分实性结节、磨玻璃结节,其中部分实性结节的恶性可能性最大,磨玻璃结节次之,实性结节尤其是小的实性结节结节最可能是良性的。 肺结节的常见病因 1、良性(约90%) 🔸 感染:结核、真菌、细菌性肺炎后遗留的瘢痕; 🔸 非感染:错构瘤(良性肿瘤)、炎性假瘤、血管瘤等。 2、恶性(约10%) 🔸原发性肺癌(如腺癌、鳞癌); 🔸转移性肿瘤(其他器官癌症转移至肺)。 如何根据影像判断肺结节性质 1、依据结节大小判断 🔸小于0.5cm的肺结节绝大多数都是良性的,属于微小结节。即使部分小于0.5cm肺结节是恶性的,但是适当的观察不影响预后。每年复查一次胸部CT就可以。 🔸大于0.5cm持续存在的纯磨玻璃结节,观察6个月,若持续存在,不管有无进展均多数是恶性的,视患者意愿,手术可以立即做也可观察至进展再做,不影响预后。 🔸大于0.8cm的部分实性结节恶性可能性非常大,应积极评估结节边缘毛刺、分叶、胸膜凹陷等征象。 🔸若实性部分大于0.5cm,恶性率显著提高。若在3~6个月随访期间实性部分增大或者总体部分增大,都可以考虑手术切除。而即使小于0.8cm的部分实性结节也需3个月就复查对比。 2、依据肺结节形态 如CT上提示病灶形态不规则、毛刺、分叶、胸膜凹陷、空泡征、血管集束征等,符合恶性肿瘤的征象。 🔸结节与正常肺组织之间界限非常清楚的恶性可能性大。 🔸结节密度不均呈混杂密度或均匀较大纯磨玻璃结节也基本是恶性的。 🔸有胸膜牵拉(不管是肺表面的脏层胸膜还是叶间裂部位的胸膜)的恶性可能性大。 🔸结节有浅分叶、细毛刺,密度较高而与周围肺组织边界不清的恶性可能性大。 🔸磨玻璃或混合磨玻璃结节存在小空洞的恶性可能性大。 🔸影像上似慢性炎表现,而没有炎症相关的其他异常,特别当所谓炎症区域内部或一侧与正常肺组织之间界限非常清楚的基本上是恶性的。 3、从结节发展情况来看 所有随访中增大进展的都需要考虑恶性可能,不进展而持续存在的纯磨玻璃结节也需考虑恶性。 葫芦岛市第二人民医院肺结节诊治中心孙振教授深耕肺结节领域四十余载,凭借对临床实践的执着钻研与深厚积淀,在肺结节精准诊断及鉴别诊断领域形成独到见解。他系统总结海量临床病例,创新性提炼出一套科学化、规范化的肺结节全周期诊疗体系,尤其在早期微小结节的影像特征识别、良恶性风险分层等方面积累了丰富经验,为众多患者提供了精准、高效的诊疗方案。 人民医院·人民名医 孙振 主任医师 三级教授 ·葫芦岛市第二人民医院胸外科主任、肺结节诊治中心主任 ·中国医科大学客座教授 ·原央企总医院著名胸外科专家 ·辽宁省医学会胸外科委员 ·辽宁省抗癌协会肺癌专业委员会委员 ·辽宁省细胞生物学学会食管癌专业委员会理事 ·主持多项科研成果获科技成果奖、科技进步奖、国家专科奖项 医学成就 从事胸外科临床工作近40年,担任胸外科首席专家及科室主任20余年,是我省胸外科领军人物,推动肺癌、食管癌等胸部肿瘤外科的规范化诊疗,在央企总医院牵头成立了肺结节诊疗中心,率先开展CT引导下肺内小结节定位切除,既确切完整切除肺内小结节,又降低肺功能损害。 专业特色 擅长肺癌、食管癌的外科手术和综合治疗,在各类高难度胸外伤手术治疗、胸腔镜微创手术、胸腺瘤手术及复杂并发症处理方面具有高深造诣,尤其擅长肺癌早期诊断,胸部小结节CT早期肺癌的鉴别等。完成各类高难度胸外科手术5000余例,其中微创手术占比达90%,治愈率达98%,多项业务填补省内空白。 开展的高难手术 胸腔镜肺部结节微创手术、肺癌根治术、食管癌根治术、各种纵隔肿瘤切除术、胸骨后甲状腺手术及胸部复合性外伤的抢救手术等。
























上一篇:【健康直通车】血管介入科副主任田明:下肢疼痛,要谨防下肢动脉硬化闭塞症 下一篇:【健康直通车】心内科一病区穆大明主任:精准诊断冠心病,冠脉造影与冠脉CTA如何根据病情“量体裁衣”?








统一呼叫平台