院内新闻
【生死时速】11分钟极速救援!市二院CCU赵永富主任团队为左主干病变患者打通“致命关卡”,成功抢回生命!
16:00到达心脏急诊,16:11躺上手术台——葫芦岛市第二人民医院心脏中心再次上演了一场与死神的极限赛跑。一名左主干闭塞达99%的急性广泛前壁心肌梗死患者正生命垂危!
左主干病变是冠心病中最为凶险的类型,一旦引发心梗,死亡率极高,即使迅速开通血管,术后存活率也依然严峻。然而,一支由CCU主任赵永富领衔的“救心团队”,不仅再次刷新了我院心梗救治的响应纪录,更成功将这位高危患者从死亡边缘拉回,达成血管再通与术后良好恢复,实现救治技术与预后效果的双重突破!

左主干病变,命悬一线!
刘大爷(化名)的噩梦始于半月前。毫无征兆的胸痛如重锤般反复压得他喘不过气,伴随肩背放射性闷痛,每次持续2~3分钟,休息后稍缓。他未曾想到,这竟是心脏发出的最后警告。
噩梦陡然升级,熟悉的剧痛再次袭来,但此次更凶更烈,如巨石碾压胸腔,伴随全身冷汗和濒死感。当地医院确诊其为急性心肌梗死,并紧急给予药物治疗。为寻求更有效的救治,患者被紧急转至我院心脏急诊。

争分夺秒,11分钟紧急接力!
16:00,救护车呼啸而至。心脏急诊团队闪电响应,在明确诊断后,第一时间联系CCU启动应急抢救流程,开启绿色通道。CCU赵永富主任立即协调手术团队做好万全准备。
16:11,患者已躺在了手术台上!这条“生命高速路”仅耗时11分钟。
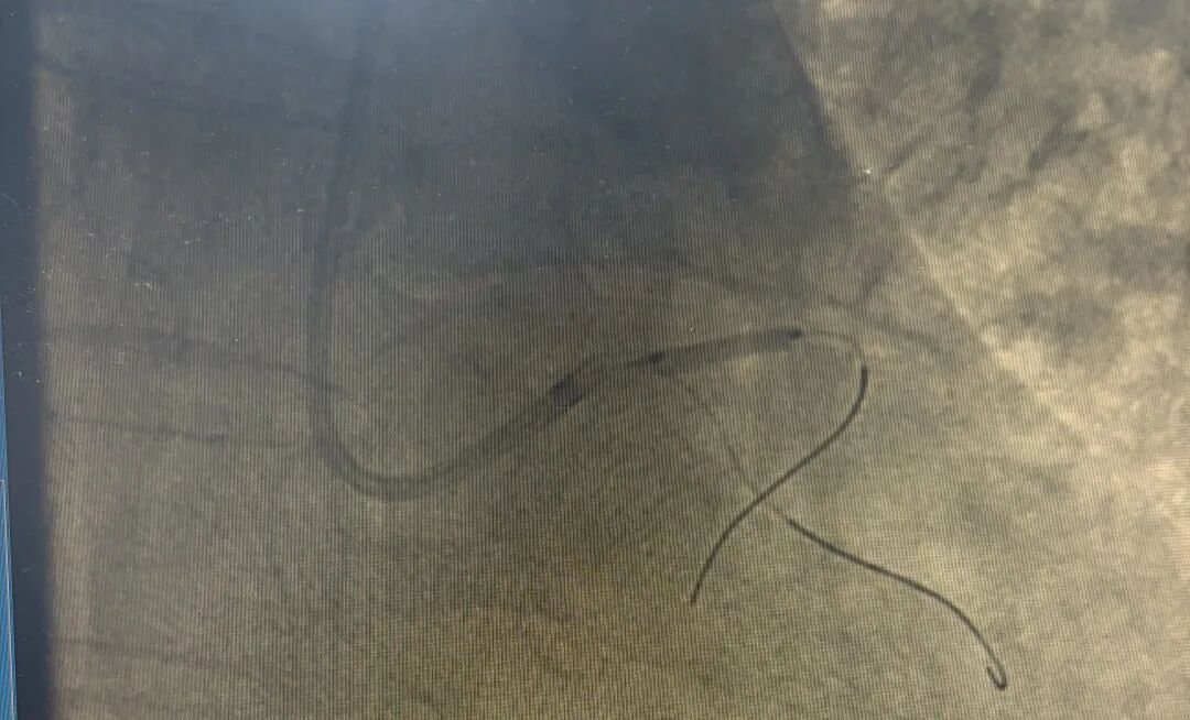
导管室内,冠脉造影屏上触目惊心:左主干本体99%狭窄,前降支血流几乎中断,心肌濒临全面坏死。
左主干作为心脏供血的“生命主干道”,一旦发生急性闭塞,意味着患者约三分之二的心肌将在瞬间陷入缺血。这是极为凶险的情况,死亡率极高,而针对左主干病变的急诊手术,至今仍是冠脉介入领域风险最高、难度最大的挑战。
这是一场与死神的正面交锋!赵永富主任带领团队凭借丰富的经验和精准操作,迅速置入导丝、球囊扩张并精准植入支架,成功开通闭塞血管。

冠脉造影(术前)

冠脉造影(术中)

冠脉造影(术后)
16:35,术后复查显示,冠脉血流恢复至TIMI 3级,心肌再灌注成功。从患者进入急诊至血管开通,仅用时35分钟,远低于国家胸痛中心90分钟的标准。
更令人振奋的是,在如此高危的病情下,患者术后胸痛、濒死感等症状迅速缓解,生命体征趋于稳定,转入CCU严密监护后恢复良好。

11分钟,在人生的长河中或许只是短暂一瞬,但对于患者来说,却是跨越生死的门槛。这场胜利不仅展现了赵永富主任团队的技艺与魄力,更是葫芦岛市第二人民医院胸痛中心“全链条急救体系”的实力彰显。当绿色通道化作生命跑道,当分秒必争成为医者本能,“心梗”不再是无情的死神代名词——因为在这里,时间可以被战胜,心跳能够重启希望。

这些信号是心脏在求救!

赵永富主任紧急提醒:急性心梗的征兆远比想象更隐匿,以下症状需即刻就医:
⚠️ 胸痛:疼痛部位多在胸骨后或心前区,压榨性、闷痛或紧缩感>15分钟,服用硝酸甘油后无法缓解。
⚠️ 放射痛:疼痛可放射至左肩、左臂内侧,甚至到达小指和无名指,部分患者还会出现牙痛、胃痛、颈部痛、下颌痛、背痛等。
⚠️ 伴随症状:呼吸困难、大汗淋漓、恶心呕吐、面色苍白、烦躁不安、濒死感等症状,严重时可出现晕厥、休克甚至猝死。

突发心梗,自救记住这四点!
1、立即停止活动
怀疑心梗后应第一时间采取卧位或任何舒适体位休息,停止一切体力活动。保持冷静,避免因紧张和焦虑加重心脏负担。
2、拨打120
说清所在地点、症状、发病时间,切忌自行前往医院。
3、打开房门
便于急救人员第一时间进入。
4、保持呼吸通畅
缓慢呼吸,以减少心肌的耗氧量,减轻心脏负荷,避免缺血范围扩大。
心梗不会自行缓解,抢救的黄金时间只有90分钟!以上每一步都可能挽救一条生命!

人民医院 人民名医
赵永富
副主任医师
·葫芦岛市第二人民医院CCU病区主任
·辽宁省医学会心血管冠心病委员
·辽宁省医学会预防医学委员
·葫芦岛医学会心血管病分会委员
·葫芦岛市心电生理与起搏专业委员会委员
专业特色:心脏急危重症的诊治与抢救、泛血管的系统化治疗、心外病种的围术期精细化管理、心脏病患者的康复治疗、肿瘤心脏病患者的协同治疗。
上一篇:【坚守“医”线】节假日期间,市二院诊疗工作有序进行,做百姓健康的坚实“医靠”! 下一篇:【全国百强名医亲诊】看病不奔京!市二院携手三博脑科医院张宏伟教授完成高难度垂体瘤微创切除手术!








统一呼叫平台