院内新闻
【技术领航】破解高龄胃癌难题,乔世峰教授高难度四级手术根除病灶,守住患者生活质量!
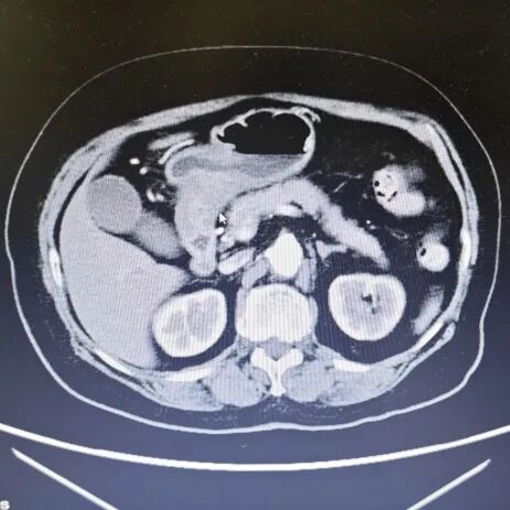
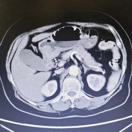
内容提要 近日,在葫芦岛市第二人民医院胃肠外科主任、原锦州医科大学附属医院胃肠外科主任乔世峰教授主刀下,成功为一位73岁的高龄胃癌患者实施了高难度胃远端切除术伴胃-十二指肠吻合术(毕Ⅰ式),充分彰显了乔世峰主任在胃肠道肿瘤外科领域深厚的技术功底与丰富经验。 1 高难手术,助力快速康复 李奶奶今年3月在外院被确诊为(胃窦-胃角)恶性肿瘤,辗转到我院寻求进一步手术治疗。考虑到患者年龄较大、病灶位置复杂,乔世峰主任在术前全面评估后,决定采用胃远端切除术伴胃-十二指肠吻合术。 肠镜及病理结果 该术式属于四级手术,技术要求高,但对患者术后生活质量有明显优势:在完整切除肿瘤、系统清扫周边淋巴结的同时,保留十二指肠原有生理位置,行胃后壁与十二指肠端侧吻合(毕Ⅰ式),吻合后更符合人体正常消化通路,术后并发症少,恢复更快。 乔世峰主任凭借40余年胃肠外科临床经验,携张凯副主任及团队成员,从容完成肿瘤完整切除及淋巴结清扫,确保根治效果。随后,精准实施胃后壁与十二指肠端侧吻合,吻合通畅、血供良好,整个手术过程平稳。术后患者消化功能恢复快,并发症发生率显著降低,生活质量更高。 胃部影像(鼠标所指为病变处) 此次高难度手术的成功实施,再次体现了我院在复杂胃肠外科治疗中的技术实力。乔世峰教授深耕临床多年,在胃肠道肿瘤的规范化治疗及疑难病例诊疗等方面有着深厚的造诣和丰富的临床经验,尤其擅长各类腹腔镜胃肠肿瘤根治术,致力于为患者提供创伤更小、恢复更快、根治更彻底的诊疗服务。 随着乔世峰教授的加盟,我院胃肠外科的学科建设和诊疗能力迈上了新台阶。未来,科室将在乔世峰主任的带领下,持续深耕技术创新,不断优化诊疗服务,全力提升胃肠道肿瘤及疑难重症的诊治水平。 2 人民医院 人民名医 乔世峰 博士后 主任医师 教授 硕士研究生导师 ·葫芦岛市第二人民医院胃肠外科主任 ·原锦州医科大学附属第一医院胃肠外科主任 ·首都医科大学医学博士、天津医科大学博士后 ·辽宁省医学会外科分会疝与腹壁外科学组委员 ·辽宁省医学会肠外肠内营养学会委员 ·东北三省肠外肠内营养支持专业委员会委员 ·辽宁省中西医结合学会肿瘤专业委员会常委 ·《中国肿瘤生物治疗杂志》特约审稿专家 专业特色:省内胃肠外科领域领军专家,从事普外科工作近40年,擅长胃肠道多发、疑难病诊治,精通普外科各类手术,如胃癌、结肠癌、疝、肠梗阻、肝癌、胆囊切除术、胰腺手术等。深耕胃肠道肿瘤规范化治疗与微创技术创新,在省内较早开展腹腔镜微创胃肠肿瘤手术,具有极高造诣。在国家核心期刊发表学术论文20余篇,SCI论文10余篇。 出诊时间:每周三全天 咨询热线:0429-8010259 张凯 副主任医师 硕士研究生 ·葫芦岛市第二人民医院胃肠外科副主任 ·辽宁省生命科学学会胃肠肿瘤专业委员会委员 ·中医临床药学分会委员理事 ·沈阳市抗癌协胃癌专业委员会委员 专业特色:以腹部外科为诊治方向,擅长普通外科多发及疑难病的诊断、治疗和手术。以微创技术为特色优势,擅长腹腔镜阑尾切除术、腹股沟疝修补术、结直肠癌根治术、胃癌根治术。先后发表论文2篇,完成“腹腔镜、胆道镜及两镜联合手术临床应用”科研项目,并获得了葫芦岛市科学技术成果奖励二等奖,学术论文类获得葫芦岛市自然科学学术成果一等奖。









上一篇:“焦虑”是病吗?葫芦岛市第二人民医院临床心理科教您正确识别焦虑情绪和焦虑症 下一篇:【医疗再升级】市二院急诊“智慧病房”,数字化赋能医疗服务,让急诊救治更安全、更高效!









统一呼叫平台